大腦是體內最重要的器官。它讓你成為獨特的個體,除非必要,否則對它動手腳通常不是一個好主意。但對於一個男孩來說,移除他大腦的一大部分成為醫生可以做出的最佳決定,現在他的案例是一篇令人驚嘆的新研究論文主題。
這名男孩先是在他四歲時癲癇發作。隨著時間的推移,他癲癇的症狀持續惡化,傳統的治療方法似乎都無法改善。最後,沒有其他選擇的情況下,醫生做出了令人難以置信的艱難決定,他要求移除男孩一部分的大腦。然而,事情發生了意想不到的變化。
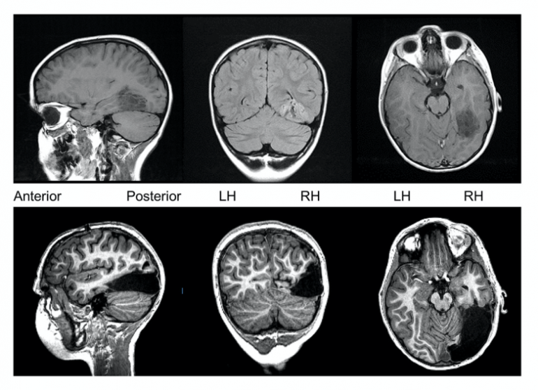
當男孩 6 歲時,外科醫生大約移除男孩大腦右半邊的三分之一。移除的部分是管理感官輸入的區域,包括視覺和聽覺。醫生希望手術可以停止男孩的癲癇發作,但同時也擔心這可能會阻礙男孩的發育。令人意外地,這似乎並沒有發生。
現在距離手術日已經三年了,男孩的表現比醫生所預期的要好很多。他的認知和智力與同年齡層的孩子相當,這一切都要歸功於他的左腦扮演雙重功能的重要角色。通過監測他的大腦活動,醫生們看到男孩大腦的左側已經重新排列,以幫助處理重要的資訊,例如臉部識別。
醫生認為男孩驚人的恢復是因為他在大腦手術時年紀還小。通過在六歲時移除大腦的一部分,男孩之後不斷增長的大腦仍然有時間適應並製定戰略。最後,男孩避免了許多成年人遭受腦損傷時會發生的問題。
據報導,這個男孩長大後想成為神經學家,那真是太棒了。
資料來源:BGR – Boy has huge chunk of his brain removed, and he’s doing better than ever
		留言
		
(Visited 65 times, 1 visits today)
			    						 
			 
			